LUX SMILE
LENTES DE CONTATO DENTAL


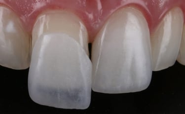
A técnica das lentes de contato dental oferece uma forma moderna e minimamente invasiva de transformar o sorriso.
O tratamento é planejado por cirurgiões-dentistas habilitados, visando harmonia, conforto e naturalidade nos resultados, sempre respeitando as características de cada paciente.
Responsável técnico: Dr. Júlio Coelho – CROSP 87437
LENTES DE CONTATO DENTAL LUX SMILE
As lentes de contato dental oferecem uma alternativa moderna e conservadora para realçar a harmonia do sorriso.
Na Lux Smile, cada caso é planejado de forma personalizada, com técnicas reconhecidas pela odontologia estética moderna, buscando equilíbrio entre saúde, função e beleza.
O procedimento é conduzido por cirurgiões-dentistas habilitados, utilizando materiais de qualidade e protocolos seguros para alcançar resultados naturais e harmônicos, respeitando as características individuais de cada paciente.
Responsável técnico: Dr. Júlio Coelho – CROSP 87437
Desfrute de um Sorriso Planejado com Precisão.
Responsável técnico: Dr. Júlio Coelho – CROSP 87437
Abordagem Conservadora das Estruturas Dentais
No consultório, trabalhamos com uma filosofia voltada à preservação das estruturas dentais, priorizando intervenções minimamente invasivas e seguras. Sempre que indicado, utilizamos técnicas modernas, como as lentes de contato dental, planejadas de forma a preservar o máximo de estrutura natural possível.
Nosso compromisso é oferecer um tratamento personalizado, reversível e biologicamente respeitoso, mantendo a saúde bucal e o bem-estar do paciente como prioridade.
PRESERVAÇÃO MÁXIMA
Responsável técnico: Dr. Júlio Coelho – CROSP 87437
Se o seu objetivo é conquistar um sorriso mais harmônico e natural, nosso time atua com técnicas modernas e minimamente invasivas, sempre priorizando a preservação da estrutura dentária e a estética individual de cada paciente.
Com mais de 20 anos de experiência e técnicas avançadas, com especialização em implantes e reabilitação estética, o Dr. Júlio Coelho, Cirurgião dentista, conduz cada caso com planejamento personalizado e foco em resultados seguros e naturais.
Cada tratamento é elaborado de forma criteriosa, respeitando o formato do rosto, a simetria facial e a saúde bucal.
Responsável técnico: Prof. Dr. Júlio Coelho – CROSP 87437
SORRISO HARMONIOSO
E NATURAL
Nós Cuidamos de Você
Comprometimento
A Mais Nova Evolução
Nossa clínica busca proporcionar uma experiência tranquila e acolhedora, com atendimento gentil e atento às necessidades de cada paciente.
Nosso objetivo é cuidar de você de forma completa, priorizando sua saúde bucal e seu bem-estar em todas as etapas do tratamento.
Trabalhamos para oferecer um ambiente seguro, ético e humanizado, onde cada pessoa é tratada com respeito, empatia e profissionalismo.
A satisfação e o bem-estar dos nossos pacientes são reflexos do nosso comprometimento com a odontologia ética e personalizada.
Acreditamos que um sorriso saudável contribui para a autoestima e qualidade de vida.
Por isso, trabalhamos com dedicação e responsabilidade em cada etapa do atendimento, buscando sempre resultados naturais, confortáveis e seguros.
A odontologia estética moderna oferece soluções cada vez mais precisas e conservadoras, que valorizam a harmonia do sorriso e a preservação das estruturas dentais.
O protocolo LuxSmile reúne técnicas reconhecidas e materiais de última geração, aplicados de forma personalizada para atender às necessidades e características de cada paciente.
O foco é proporcionar resultados naturais e duradouros, dentro dos parâmetros científicos da odontologia estética, sempre priorizando a segurança, o conforto e a saúde bucal.
Responsável técnico: Dr. Júlio Coelho – CROSP 87437
As lentes de contato dental, realizadas sob o protocolo Lux Smile, são planejadas para oferecer conforto, segurança e resultados naturais.
Cada caso é cuidadosamente avaliado pelo Cirurgião dentista e Dr. Júlio Coelho, que utiliza técnicas modernas e materiais de alta qualidade, sempre respeitando as características individuais de cada paciente.
O tratamento segue princípios conservadores e é realizado de forma minimamente invasiva, com foco na estética e na saúde bucal.
Responsável técnico: Dr. Júlio Coelho – CROSP 87437
PROCEDIMENTO
CONFORTÁVEL
E PERSONALIZADO
Ajuste de
Alta Precisão
O processo de personalização das lentes dentais é realizado considerando as características individuais de cada paciente.
Por meio de planejamento digital e tecnologias de precisão, como escaneamento intraoral e impressão 3D, as lentes são confeccionadas sob medida para proporcionar um encaixe anatômico e resultados estéticos harmônicos.
A técnica segue princípios minimamente invasivos, priorizando a preservação da estrutura dental e o conforto do paciente.


Responsável técnico: Dr. Júlio Coelho – CROSP 87437
Tecnologia Avançada
Atendimento Personalizado
Ambiente Sofisticado
Investimos continuamente em tecnologia e capacitação profissional, utilizando equipamentos de alta precisão que contribuem para procedimentos mais seguros e eficientes.
Estamos em constante atualização, alinhados às inovações reconhecidas pela odontologia moderna.
Nosso atendimento é pautado pela discrição, personalização e respeito à individualidade de cada paciente.
Com mais de 20 anos de experiência, o Dr. Júlio Coelho atua com foco em odontologia estética e reabilitação, oferecendo um cuidado diferenciado e confidencial.
Cada tratamento é planejado com atenção aos detalhes, unindo técnica, ética e sensibilidade estética.
Nosso espaço foi projetado para oferecer conforto, serenidade e bem-estar durante o atendimento.
Cada detalhe do ambiente foi pensado para proporcionar uma experiência tranquila, agradável e acolhedora, refletindo o compromisso dos profissionais que atuam com a excelência em cada etapa do cuidado odontológico em nosso consultório.
Responsável técnico: Dr. Júlio Coelho – CROSP 87437
Escreva seu texto aqui...
As lentes de contato dental são confeccionadas com materiais de alta performance, desenvolvidos para oferecer estabilidade, conforto e excelente integração estética.
Quando planejadas e aplicadas corretamente, podem apresentar resultados duradouros e naturais, respeitando a estrutura dentária e as características individuais de cada paciente.
O sucesso do tratamento depende da técnica empregada, da qualidade dos materiais e dos cuidados de manutenção, como a higiene bucal adequada e o acompanhamento odontológico periódico.
Responsável técnico: Dr. Júlio Coelho – CROSP 87437
Durabilidade e Precisão Estética
O sorriso é uma expressão essencial de bem-estar e confiança. Cuidar da saúde bucal contribui não apenas para a estética, mas também para a qualidade de vida e equilíbrio emocional.
Um sorriso saudável reflete cuidado e atenção consigo mesmo, fortalecendo a autoestima e o relacionamento com o próprio corpo.
Cada tratamento é planejado de forma personalizada, com foco em promover harmonia facial, funcionalidade e naturalidade, respeitando sempre as características individuais de cada paciente.


ELEVANDO SUA AUTOESTIMA
Responsável técnico: Dr. Júlio Coelho – CROSP 87437
Por Que Escolher o Dr. Júlio Coelho em Alphaville?
Nossa equipe é formada por cirurgiões-dentistas com formação avançada e experiência em procedimentos da região orofacial, atuando com precisão, segurança e atenção individualizada em cada caso.
Os profissionais possuem habilitação reconhecida pelo Conselho Federal de Odontologia para o uso de toxina botulínica e preenchedores faciais, aplicando técnicas atualizadas e embasadas cientificamente.
Cada procedimento é planejado de forma personalizada, priorizando resultados naturais e harmônicos, dentro dos princípios da odontologia estética e funcional.
Segue protocolos rigorosos de biossegurança, controle de esterilização e higiene, garantindo um ambiente seguro e acolhedor para cada paciente.
Responsável técnico: Dr. Júlio Coelho – CROSP 87437


Credibilidade e Comprometimento com a Excelência
A filosofia da nossa clínica odontológica é oferecer um atendimento baseado em ética, precisão técnica e cuidado individualizado.
Cada procedimento é planejado de forma personalizada, buscando resultados naturais e funcionais, sempre com foco na saúde, segurança e bem-estar dos pacientes.
O Dr. Júlio Coelho atua com ênfase em odontologia estética e reabilitação, com experiência de mais de 20 anos e habilitação em harmonização orofacial reconhecida pelo Conselho Federal de Odontologia.
Dr. Júlio Coelho – CROSP 87437
Nossa Consultório. Odontológico
Alameda Rio Negro, 1084, (Conj 78. | 7 andar ), Alphaville Centro Industrial e Empresarial/Alphaville., Barueri, SP, 06454-000, em frente ao Alpha Shopping.
Horario de Atendimento
Segunda- Sexta
8:00 - 18:00
Contato
(11) 97398-9513
contato@clinicadrjuliocoelho.com
Dr. Júlio Coelho – CROSP 87437
Contato
Envie sua mensagem para maiores informações
Responsável técnico: Dr. Júlio Coelho – CROSP 87437


Dr. Júlio Coelho – CROSP 87437
Consultório Odontológico - Alphaville, Industrial, Barueri - SP
